歯のホワイトニングが当院のメニューに復活しました!
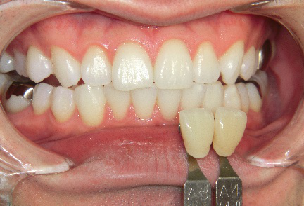
日本人の歯の色はA3~A3.5と少し黄色味がかったような色が平均的です。



歯の色見本
この色をA2やA1、B1といった明るい色へと変化させていきます。歯の色そのものを明るくすることを『ホワイトニング』といいます。コーヒー・お茶・赤ワイン・喫煙などによる歯の表面についた着色を落とす『クリーニング』とは違うものになります。
当院で施術をおこなうもの(1通院あたり約3時間):¥20,000-
薬剤を歯に塗布して20分置きます。これを3セット繰り返します。


ご自宅にてご自身でおこなっていただくもの(10回分):¥15,000-
使い方のご説明もしっかりとさせていただきます。


オフィスホワイトニングとホームホワイトニングを同時期におこなうもの:¥35,000-
現在のお口の中の状態を確認させていただきます。ホワイトニングよりも先に、むし歯や歯周病の治療、歯石取りを済ませた方が良いと判断することもあります。かぶせものやつめもの(補綴物)の色はホワイトニングでは変わりませんので、状況によってホワイトニング後に補綴物を新しくするか、ホワイトニングの効果を予想してあらかじめ明るい色の補綴物にしておきたいなど、ご希望やお考えがありましたらお気軽にお話しくださいね。
また、もともと知覚過敏がある方は一時的に症状が強く出るケースもあります。まれに色が変わりにくい歯質の方もいらっしゃいます。まずはお口の中を確認し、問題なければホワイトニングへ進みましょう。

※このようなグレー味がかかった歯質は、色が変わりにくい傾向にあります。
「このくらいの明るさになりたい!」「この日までに歯を明るくしたい!」
など、ご希望がありましたら早めにプランを立てていきましょう!
というのも、ホワイトニングの薬剤には使用期限があるため、在庫保管せずご予約後の発注となります。到着まで1週間~10日ほどお日にちがかかります。余裕のあるスケジュールでご相談させていただければと思います。
ご不明な点や気になることなどありましたら、お気軽にお声がけくださいね。


| 治療内容 | デュアルホワイトニング |
|---|---|
| 治療回数・期間 | オフィスホワイトニング3回通院+ホームホワイトニング |
| 費用 | ¥75,000- |
| リスク・注意点 |
|


| 治療内容 | オフィスホワイトニング |
|---|---|
| 治療回数・期間 | 1回通院 |
| 費用 | ¥20,000- |
| リスク・注意点 |
|
※ホワイトニングは自由診療です。
※薬剤の刺激により、一時的に知覚過敏の症状が出る場合があります。
※効果や白さの程度には個人差があります。
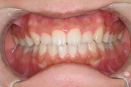
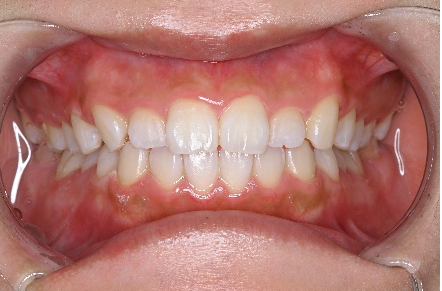
※掲載の症例写真は実際の一例であり、すべての方に同様の結果を保証するものではありません。
※価格は税込表示です。
| 王子本町歯科クリニック | |
| 東京都北区王子本町1-9-14 アクセスマップ・地図 |
|
| ・JR京浜東北線 王子駅北口改札を出て左の『親水公園口』より徒歩7分 ・地下鉄 南北線 王子駅 北口 徒歩7分 |
|
| 03-3907-8000 | |
| 月曜~金曜 10:00~13:00/14:30~17:30 | |
| 土曜・日曜・祝日 | |
マイクロスコープ、虫歯治療、精密根管治療(保険外の自由診療)、コンポジットレジン(MI治療)、セラミック治療(メタルフリー) |
|
|
|
|
午前休診
Calendar Loading
Calendar Loading
|
|